Asmee Ferel Medicine & Genetics

Asmee Fetal Medicine & Genetics
Managing Health Concerns Of The Mother And Fetus Prior To, During, And Shortly After Pregnancy.
Our specialized team of doctors at ASMEE performs tests on the fetus to screen for health problems, presides over ultrasound examinations, and attempts to treat birth defects, disorders, and infections. Facilities like 4D ultrasonography, amniocentesis, etc helps in early detection and timely intervention helping the delivery of a healthy baby.
No matter your story, we will help you find a solution that is perfectly suited for your fetal medicine ( pregnancy USG and GENETIC tests)related requirements .
Fetal medicine services we offer include:

First Trimester Screening (FTS/EFTS)

Dating Scan

Early AnatomyScan

NIPT/NIPS (Non-Invasive Prenatal Testing)

Fetal Echo

Anomaly Scan/ Level II/ TARGET SCAN

TWIN Clinics

Fetal Growth and Dopplers

Amniocentesis

IUGR Clinic

Cordocentesis

Chorionic Villous Sampling ( CVS)

Intrauterine Transfusion

FREQUENTLY ASKED QUESTION
YOU HAVE QUESTIONS WE HAVE ANSWERS
Fetal medicine is speciality where specialists look at yourbaby in uterus and make sure your baby is developing in proper manner structurally and also achieving its growth potential.
Down’s syndrome is a genetic disorder caused when abnormal cell division results in extra -genetic material from chromosome 21.
Down’s syndrome causes a distinct facial appearance, intellectual disability and developmental delays. It may be associated with thyroid or heart disease.
Not all but many genetic disorders can be diagnosed in antenatal period.
– NIPS
– EFTS
– Early anomaly scans
NIPS is a safe and reliable prenatal screening method for most expectant mothers. It works by analysing foetal DNA in the mother’s blood, collected after 10 weeks of pregnancy. This test helps parents make informed decisions about their pregnancy and the health of their developing baby. It is a very robust screening test for trisomy 21.
It’s a genetic screening test where one blood test is done along with a detailed ultrasound. It is a screening test for trisomy 21 ,18 and 13.
It also gives a fair idea about whether patient is going to develop preeclampsia or not in later half of pregnancy.
Anomaly scan is a detailed ultrasound of baby when it is approx. 20 weeks old. The aim is determined whether baby is anatomically normal or not.
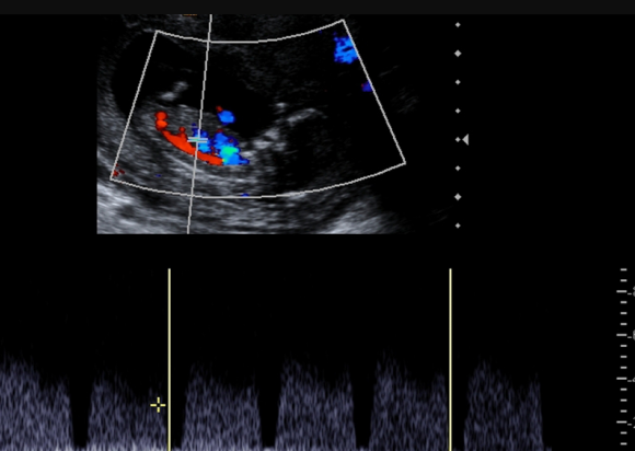
It’s a detailed scan of baby’s heart. This scan ensures baby’s heart is developing and functioning in normal manner.
This is usually done at 22 weeks, but can be offered earlier or later as needed.
Ultrasound is absolutely safe for both baby and mother.
Ultrasound has no radiation.
It is a genetic test where amniotic fluid or Chorionic Villous Sample is taken for ascertaining certain genetic conditions.
Amniocentesis is not painful at all. CVS may cause little discomfort but usually not painful in expert hands.